Back to Top
#TAGS ΠΑΝΕΠΙΣΤΗΜΙΟ ΠΑΤΡΩΝ Αιγιάλεια Νάσος Νασόπουλος Τέμπη
Αγγελίες
Μην ψάχνεις, βρες στο
THE BEST

WELL BEING

/

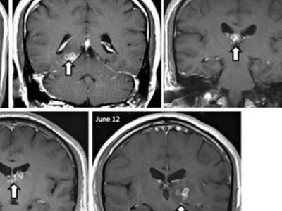
Σκουλίκι-ταινία ζούσε επί χρόνια στον εγκέφαλο ενός άνδρα

Σκουλίκι-ταινία ζούσε επί χρόνια στον εγ...

Σύμφωνα μάλιστα με τους επιστήμονες, το σκουλήκι δεν έμενε ακίνητο στον εγκέφαλο, αλλά έκοβε βόλτες

Ένα σκουλήκι-ταινία που ως παράσιτο συνήθως μολύνει σκύλους, γάτες και άλλα ζώα, ανακαλύφθηκε από Βρετανούς γιατρούς μέσα στον εγκέφαλο ενός 50χρονου Κινέζου. Το σκουλήκι, μήκους ενός εκατοστού, ζούσε τουλάχιστον επί τέσσερα χρόνια μέσα στο κεφάλι του άνδρα και του προκαλούσε τρομερούς πονοκεφάλους, επιληπτικές κρίσεις, αλλοίωση της αίσθησης της όσφρησης, ξαφνικές αναλαμπές μνήμης και άλλα νευρολογικά συμπτώματα.

Οι επιστήμονες μελέτησαν το DNA του παράσιτου, το οποίο ήταν ασυνήθιστα μεγάλο και πολύπλοκο, γεγονός που, όπως είπαν, εξηγεί πώς κατάφερε να διεισδύσει σε έναν άνθρωπο, να προσαρμοστεί και να μακροημερεύσει μέσα στον εγκέφαλό του για τόσο μεγάλο διάστημα. Το γονιδίωμά του περιείχε περίπου δεκαπλάσιο DNA από οποιοδήποτε άλλο σκουλήκι - ταινία έχει ως τώρα μελετηθεί γενετικά και είναι σχεδόν το ένα τρίτο του ανθρώπινου γονιδιώματος.

Οι γιατροί σε ένα βρετανικό νοσοκομείο προσπαθούσαν επί χρόνια να καταλάβουν τι προκαλούσε τα συμπτώματα στον άνδρα, αλλά παρ' όλη την πληθώρα των εξετάσεων είχαν αποτύχει να βρουν την αιτία, ώσπου αναγκάστηκαν να καταφύγουν σε εγχείρηση. Εκεί, προς μεγάλη έκπληξή τους, ανακάλυψαν το σκουλήκι θρονιασμένο σε σχήμα κορδέλας στη δεξιά πλευρά του εγκεφάλου.

Η γενετική ανάλυση -μετά από βιοψία- από τους επιστήμονες του Ινστιτούτου Wellcome Trust Sanger του Κέμπριτζ, με επικεφαλής τη Χέιλι Μπένετ, που έκαναν τη σχετική ανακοίνωση στο περιοδικό βιολογίας και γενετικής Genome Biology, σύμφωνα με το New Scientist και τις βρετανικές «Guardian» και «Independent», έδειξε ότι επρόκειτο για ένα σπάνιο είδος σκουληκιού - ταινίας, το Spirometra erinaceieuropaei, που ενδημεί στην ανατολική Ασία.

Το παράσιτο ξεκινά τη ζωή του στο νερό μολύνοντας αρχικά υδρόβιους οργανισμούς, τους οποίους μετά τρώνε τα ερπετά και τα αμφίβια, όπως οι βάτραχοι και τα φίδια. Τελικά η ταινία καταλήγει στο στομάχι μεγαλύτερων σαρκοβόρων, όπως οι σκύλοι και οι γάτες, όπου μπορεί να φθάσει ακόμη και το ενάμισι μέτρο σε μήκος (τυλιγμένο σαν ταινία).

Μόνο 300 ανθρώπινες μολύνσεις έχουν αναφερθεί από το 1953 και από αυτές μόνο δυο στην Ευρώπη. Μέχρι σήμερα, το σκουλήκι είχε βρεθεί συνήθως κάτω από το ανθρώπινο δέρμα, στους πνεύμονες ή σε όγκους στο στήθος. Οι ασθενείς φοβούνταν καρκίνο, αλλά όταν οι γιατροί τους έψαξαν, βρήκαν σκουλήκι αντί για καρκινικό όγκο.

Πολύ σπάνια η εν λόγω ταινία μπορεί να βρεθεί στον εγκέφαλο, προκαλώντας χρόνια φλεγμονή (την οποία πάλι μπορεί να μπερδέψει κανείς για εγκεφαλικό όγκο), με συνέπεια την πρόκληση των πονοκεφάλων και των επιληπτικών κρίσεων. Και μία μάλλον αηδιαστική ερώτηση: πώς καταφέρνει να ζει το σκουλήκι -που δεν έχει στόμα- μέσα σε ένα ανθρώπινο κεφάλι;

Απορροφώντας μέσω του σώματός του θρεπτικές ουσίες, όπως λιπαρά οξέα του εγκεφαλικού ιστού.

Μάλιστα το σκουλήκι, σύμφωνα με τους επιστήμονες, δεν έμενε ακίνητο στον εγκέφαλο, αλλά έκοβε βόλτες από το ένα ημισφαίριο στο άλλο, σε απόσταση τουλάχιστον πέντε εκατοστών, διασχίζοντας ευαίσθητα κέντρα του εγκεφάλου!

«Δεν περιμέναμε να δούμε μια μόλυνση αυτού του είδους στη Βρετανία, όμως τα παγκόσμια ταξίδια έχουν ως συνέπεια καμιά φορά να εμφανίζονται τέτοια ασυνήθιστα παράσιτα», δήλωσε η ελληνικής καταγωγής δρ. Ευφροσύνη Γκρανιά Κλώτσα του Τμήματος Λοιμωδών Νόσων του Νοσοκομείου Άλντενμπρουκ, η οποία συμμετείχε στη μελέτη του σκουληκιού.

Παραμένει άγνωστο πώς ο συγκεκριμένος άτυχος άνδρας μολύνθηκε με το σκουλήκι, αλλά πιθανώς αυτό συνέβη όταν έφαγε μολυσμένο κρέας ή ήπιε μολυσμένο νερό στην Κίνα. Αυτό σημαίνει ότι το σκουλήκι ταξίδεψε από το στομάχι του έως το κεφάλι του...

Αν και ο άνδρας στο μεταξύ έχει πάρει φάρμακα που θεράπευσαν τελείως τη φλεγμονή και την μόλυνση, συνεχίζει να υποφέρει από -κυρίως ψυχολογικά- προβλήματα και μόνο στη σκέψη ότι τόσα χρόνια ένα σκουλήκι ζούσε στον εγκέφαλό του. Και ποιος δεν θα υπέφερε;

Το μόνο, σχετικά, ευχάριστο είναι ότι το σκουλήκι, όταν τρυπώσει σε άνθρωπο, μένει σε εμβρυακή κατάσταση και δεν μεγαλώνει για να φθάσει το ενάμισι μέτρο, όπως κάνει με τα κατοικίδια ζώα.

Ακολουθήστε το thebest.gr στο Google News και μάθετε πρώτοι όλες τις ειδήσεις

Δείτε όλες τις τελευταίες Ειδήσεις από την Ελλάδα και τον Κόσμο, τη στιγμή που συμβαίνουν, στο thebest.gr

Well Being