Ο Νικόλαος Γράψας MD, Επεμβατικός καρδιολόγος με εξειδίκευση στις νεότερες τεχνικές υπερήχου, μας εξηγεί
Μία ολοκληρωμένη καρδιολογική εξέταση στη σύγχρονη εποχή θα πρέπει, πέραν της κλινικής εξέτασης και του ηλεκτροκαρδιογράφηματος, να περιλαμβάνει και μία πλήρη υπερηχογραφική μελέτη triplex. Το υπερηχοκαρδιογράφημα είναι μία ανώδυνη εξέταση, μη επεμβατική, που προσφέρει σημαντικές πληροφορίες για την λειτουργία των βαλβίδων, τις διαστάσεις της καρδιάς, την κινητικότητα, το πάχος των τοιχωμάτων και συμβάλει στη διάγνωση πιθανής δομικής καρδιοπάθειας.
Η μελέτη γίνεται συνήθως σε κατάσταση ηρεμίας, ενώ πολλές φορές είναι αναγκαίο να δούμε το πως ανταποκρίνεται η καρδιά σε καταστάσεις στρες, όσον αφορά τη συσταλτικότητά της και τη λειτουργία των βαλβίδων. Γι' αυτό τον λόγο τα τελευταία χρόνια είναι ευρέως διαδεδομένη η μελέτη του μυοκαρδίου με τη δυναμική υπερηχογραφία, ή αλλιώς το stress echo.
Γιατί και πότε κάνουμε Stress Echo
Το Stress Echo, ως λειτουργικό διαγνωστικό τεστ, αποτελεί- πλέον- εξέταση πρώτης εκλογής για γυναίκες και άνδρες η οποία:
- προσφέρει έγκαιρη και έγκυρη διάγνωση της νόσου των αρτηριών της καρδιάς, σε ασθενείς με πολλαπλούς παράγοντες κινδύνου (κάπνισμα, συγγενή πρώτου βαθμού με έμφραγμα ή εγκεφαλικό , αυξημένη χοληστερίνη, υπέρταση, σακχαρώδη διαβήτη) και υποψία στεφανιαίας νόσου
- πιστοποιεί την ύπαρξη πιθανής ισχαιμίας σε περίπτωση που τα ευρήματα της αξονικής στεφανιογραφίας είναι μη διαγνωστικά, με στενώσεις <90%
- προσφέρει μια πολύ έγκυρη παρακολούθηση σε ασθενείς με προηγούμενο ισχαιμικό επεισόδιο (nstemi), ή έμφραγμα του μυοκαρδίου (stemi)
- αποτελεί την εξέταση επιλογής για ολοκληρωμένο προεγχειρητικό έλεγχο των ασθενών που πρόκειται να υποβληθούν σε γενικές χειρουργικές επεμβάσεις και κυρίως προ των αγγειοχειρουργικών επεμβάσεων π.χ. ανεύρυσμα κοιλιακής αορτής
Η διαδικασία…
- Το Stress echo γίνεται με τη χορήγηση δοβουταμίνης, μιας φαρμακευτικής ουσίας που χορηγείται ενδοφλεβίως και προκαλεί ταχυκαρδία, δηλαδή μιμείται την σωματική άσκηση και την ανταπόκριση της καρδιάς στην κόπωση.
- Η συνολική διάρκεια της φαρμακευτικής κόπωσης, μαζί με την προετοιμασία, είναι περίπου 20-30 λεπτά.
- Αρχικά γίνεται λήψη ιστορικού και τοποθετείται στο αριστερό χέρι φλεβοκαθετήρας για τη χορήγηση των φαρμάκων. Στην συνέχεια ο ασθενής συνδέεται με τον ηλεκτροκαρδιογράφο για την παρακολούθηση του ρυθμού και με πιεσόμετρο στο δεξί χέρι για μέτρηση της αρτηριακής πίεσης.
- Πέραν της δοβουταμίνης, μπορεί να χορηγηθεί ειδικός παράγων ηχοαντίθεσης, ατροπίνη και β-αναστολέας στο τέλος της εξέτασης. Ο ασθενής πρέπει να είναι νηστικός 3 ώρες πριν την εξέταση (το νερό επιτρέπεται), να απέχει από τον καφέ και το κάπνισμα για τουλάχιστον 3 ώρες πριν από την εξέταση. Σε συνεννόηση με τον θεράποντα γιατρό θα πρέπει να διακόπτεται για 1 – 2 ημέρες η φαρμακευτική αγωγή με β-αναστολείς που μειώνουν την καρδιακή συχνότητα.
Σχετικά με τις παρενέργειες
- Η εξέταση είναι γενικά ασφαλής, ωστόσο η δοβουταμίνη μπορεί ορισμένες φορές να προκαλέσει εξάνθημα, μούδιασμα, ή «ζέστη» στο κεφάλι και στα άκρα, ή ναυτία, ή τρέμουλο, άνοδο της αρτηριακής πίεσης, καθώς και ταχυκαρδία, ή αίσθημα ακανόνιστων παλμών. Τα συμπτώματα αυτά είναι παροδικά και εξαφανίζονται 3-4 λεπτά μετά τη διακοπή του φαρμάκου. Γι' αυτό τον λόγο, η εξέταση γίνεται σε συνθήκες κατάλληλα εξοπλισμένου ιατρείου, όπως προβλέπεται διεθνώς, με ταυτόχρονη καταγραφή όλων των ζωτικών παραμέτρων (καρδιογράφημα, αρτηριακή πίεση, κορεσμός οξυγόνου) και συνεχή παρουσία νοσηλευτικού προσωπικού, ώστε να αποφευχθούν ανεπιθύμητες ενέργειες.
- Μετά το πέρας της εξέτασης δεν υπάρχει κανένας περιορισμός (εργασία, οδήγηση, κ.λπ.) για το καθημερινό πρόγραμμα ή το φαγητό.
- Συμπερασματικά, θα μπορούσαμε να πούμε ότι η δυναμική υπερηχοκαρδιογραφία (Stress Echo) με δοβουταμίνη αποτελεί πραγματικά εξέλιξη του κλασικού υπερηχοκαρδιογραφήματος και είναι μια ολοκληρωμένη προσέγγιση για την πιο πλήρη αξιολόγηση της καρδιακής λειτουργίας, εύκολα εφαρμόσιμη, χωρίς ακτινοβολία και με ελάχιστες ανεπιθύμητες παρενέργειες.

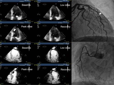
Φαρμακευτική δοκιμασία stress echo με δοβουταμίνη.
Στις εικόνες A και Β στην υπερηχογραφική απεικόνιση και με χρήση παράγοντα ηχοαντίθεσης αντίστοιχα, αποκαλύπτεται περιοχή μειωμένης συσταλτικότητας (βέλος) στη μέγιστη δόση.
Οι εικόνες C και D δείχνουν την επεμβατική στεφανιογραφία του συγκεκριμένου ασθενούς, με σημαντική απόφραξη στον πρόσθιο κατιόντα κλάδο (βέλος).
Νικόλαος Γράψας MD
Ειδικός Καρδιολόγος
Εξειδίκευση στις Νεότερες Τεχνικές Υπερήχου (stress echo) και στην Επεμβατική Καρδιολογία
τ.Διευθυντής ΕΣΥ Καρδιολογικής Κλινικής Γ.Ν.Πατρών "Αγ.Ανδρέας"
Συνεργάτης Ολυμπίου Θεραπευτηρίου Πατρών
Συνεργάτης Νοσοκομείου "Υγεία" Αθηνών
Ακολουθήστε το thebest.gr στο Google News και μάθετε πρώτοι όλες τις ειδήσεις
Δείτε όλες τις τελευταίες Ειδήσεις από την Ελλάδα και τον Κόσμο, τη στιγμή που συμβαίνουν, στο thebest.gr












